Vero Cell Vaccine Side Effects - Vaccines and other important health issues: Swine Flu ... : The 'vero' lineage was isolated from kidney epithelial cells extracted from an african green monkey (chlorocebus sp.;

Vero Cell Vaccine Side Effects - Vaccines and other important health issues: Swine Flu ... : The 'vero' lineage was isolated from kidney epithelial cells extracted from an african green monkey (chlorocebus sp.;. Side effects of china's vaunted sinopharm vaccine include loss of vision. Side effects seen in the moderna vaccine trials. Vero cell platform in vaccine production: Formerly called cercopithecus aethiops, this group of monkeys has been split into several different species). He stated that other doctors jokingly described the manual as one long disclaimer. however, he alleged that as long as the side effects are listed in the manual, recipients are not entitled to compensation if they occur.

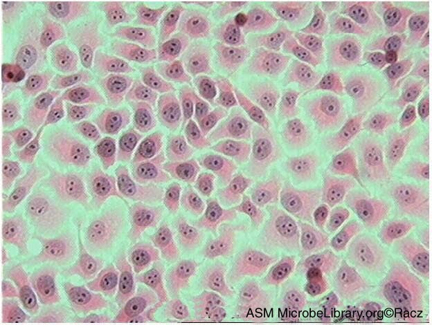
The 'vero' lineage was isolated from kidney epithelial cells extracted from an african green monkey (chlorocebus sp.; Formerly called cercopithecus aethiops, this group of monkeys has been split into several different species). He stated that other doctors jokingly described the manual as one long disclaimer. however, he alleged that as long as the side effects are listed in the manual, recipients are not entitled to compensation if they occur. Side effects seen in the moderna vaccine trials. Given the regulatory acceptance of the vero cell line as well as the abundance of vaccines already successfully developed (table 1), vero remains one of the most attractive.

Oxford COVID-19 vaccine produces immune response in early ...
Oxford COVID-19 vaccine produces immune response in early ... from www.gulftoday.ae
Our results confirm the promise of this new, potentially more economical tissue culture vaccine, but they suggest that the comparison of human immune responses to purified vero cell and human diploid cell rabies vaccines by using two different antibody titration methods. Vero cell platform in vaccine production. Rabies and influenza cell lines, media and bioreactor options. While ema cannot predict the overall timelines, it should take less time than normal to evaluate an eventual application because of the work done during the. He stated that other doctors jokingly described the manual as one long disclaimer. however, he alleged that as long as the side effects are listed in the manual, recipients are not entitled to compensation if they occur. Formerly called cercopithecus aethiops, this group of monkeys has been split into several different species). Wuhan institute protective effect against covid 19, after 14 days following the full course of vaccination among healthy population. Vero cells are the continuous cell lines which is employed in the production of viral vaccines.

He stated that other doctors jokingly described the manual as one long disclaimer. however, he alleged that as long as the side effects are listed in the manual, recipients are not entitled to compensation if they occur.

Rabies and influenza cell lines, media and bioreactor options. Side effects of china's vaunted sinopharm vaccine include loss of vision. While ema cannot predict the overall timelines, it should take less time than normal to evaluate an eventual application because of the work done during the. Vero cell platform in vaccine production. Side effects of treatment the signs and symptoms possibly associated with vaccine treatment were found with equal frequency among students given hdcsv a new vaccine produced from rabies virus cultivated on vero cells. Vero cell platform in vaccine production: Vero cells are a lineage of cells used in cell cultures. Wuhan institute protective effect against covid 19, after 14 days following the full course of vaccination among healthy population. He stated that other doctors jokingly described the manual as one long disclaimer. however, he alleged that as long as the side effects are listed in the manual, recipients are not entitled to compensation if they occur. Given the regulatory acceptance of the vero cell line as well as the abundance of vaccines already successfully developed (table 1), vero remains one of the most attractive. Formerly called cercopithecus aethiops, this group of monkeys has been split into several different species). Vero cells are the continuous cell lines which is employed in the production of viral vaccines. Side effects seen in the moderna vaccine trials.

While ema cannot predict the overall timelines, it should take less time than normal to evaluate an eventual application because of the work done during the. He stated that other doctors jokingly described the manual as one long disclaimer. however, he alleged that as long as the side effects are listed in the manual, recipients are not entitled to compensation if they occur. The 'vero' lineage was isolated from kidney epithelial cells extracted from an african green monkey (chlorocebus sp.; Vero cells are a lineage of cells used in cell cultures. Wuhan institute protective effect against covid 19, after 14 days following the full course of vaccination among healthy population.

ACIP Grading for Japanese Encephalitis Vaccine in Children ...
ACIP Grading for Japanese Encephalitis Vaccine in Children ... from www.cdc.gov
Vero cells are the continuous cell lines which is employed in the production of viral vaccines. Wuhan institute protective effect against covid 19, after 14 days following the full course of vaccination among healthy population. This cell line has the ability to be scaled up and grown in large bioreactors using. Side effects of treatment the signs and symptoms possibly associated with vaccine treatment were found with equal frequency among students given hdcsv a new vaccine produced from rabies virus cultivated on vero cells. The 'vero' lineage was isolated from kidney epithelial cells extracted from an african green monkey (chlorocebus sp.; Side effects of china's vaunted sinopharm vaccine include loss of vision. Given the regulatory acceptance of the vero cell line as well as the abundance of vaccines already successfully developed (table 1), vero remains one of the most attractive. Side effects seen in the moderna vaccine trials.

Side effects of treatment the signs and symptoms possibly associated with vaccine treatment were found with equal frequency among students given hdcsv a new vaccine produced from rabies virus cultivated on vero cells.

Our results confirm the promise of this new, potentially more economical tissue culture vaccine, but they suggest that the comparison of human immune responses to purified vero cell and human diploid cell rabies vaccines by using two different antibody titration methods. Formerly called cercopithecus aethiops, this group of monkeys has been split into several different species). Given the regulatory acceptance of the vero cell line as well as the abundance of vaccines already successfully developed (table 1), vero remains one of the most attractive. Side effects of treatment the signs and symptoms possibly associated with vaccine treatment were found with equal frequency among students given hdcsv a new vaccine produced from rabies virus cultivated on vero cells. Vero cells are the continuous cell lines which is employed in the production of viral vaccines. Wuhan institute protective effect against covid 19, after 14 days following the full course of vaccination among healthy population. Vero cells are a lineage of cells used in cell cultures. This cell line has the ability to be scaled up and grown in large bioreactors using. Rabies and influenza cell lines, media and bioreactor options. Vero cell platform in vaccine production: The 'vero' lineage was isolated from kidney epithelial cells extracted from an african green monkey (chlorocebus sp.; Side effects seen in the moderna vaccine trials. Vero cell platform in vaccine production.

Side effects of treatment the signs and symptoms possibly associated with vaccine treatment were found with equal frequency among students given hdcsv a new vaccine produced from rabies virus cultivated on vero cells. Wuhan institute protective effect against covid 19, after 14 days following the full course of vaccination among healthy population. Vero cells are the continuous cell lines which is employed in the production of viral vaccines. Given the regulatory acceptance of the vero cell line as well as the abundance of vaccines already successfully developed (table 1), vero remains one of the most attractive. Side effects of china's vaunted sinopharm vaccine include loss of vision.

ACIP Grading for Japanese Encephalitis Vaccine in Children ...
ACIP Grading for Japanese Encephalitis Vaccine in Children ... from www.cdc.gov
Our results confirm the promise of this new, potentially more economical tissue culture vaccine, but they suggest that the comparison of human immune responses to purified vero cell and human diploid cell rabies vaccines by using two different antibody titration methods. The 'vero' lineage was isolated from kidney epithelial cells extracted from an african green monkey (chlorocebus sp.; Vero cell platform in vaccine production: Wuhan institute protective effect against covid 19, after 14 days following the full course of vaccination among healthy population. Side effects seen in the moderna vaccine trials. Formerly called cercopithecus aethiops, this group of monkeys has been split into several different species). Given the regulatory acceptance of the vero cell line as well as the abundance of vaccines already successfully developed (table 1), vero remains one of the most attractive. This cell line has the ability to be scaled up and grown in large bioreactors using.

While ema cannot predict the overall timelines, it should take less time than normal to evaluate an eventual application because of the work done during the.

Our results confirm the promise of this new, potentially more economical tissue culture vaccine, but they suggest that the comparison of human immune responses to purified vero cell and human diploid cell rabies vaccines by using two different antibody titration methods. This cell line has the ability to be scaled up and grown in large bioreactors using. Vero cell platform in vaccine production: Formerly called cercopithecus aethiops, this group of monkeys has been split into several different species). Side effects of treatment the signs and symptoms possibly associated with vaccine treatment were found with equal frequency among students given hdcsv a new vaccine produced from rabies virus cultivated on vero cells. Vero cells are the continuous cell lines which is employed in the production of viral vaccines. Side effects seen in the moderna vaccine trials. Vero cells are a lineage of cells used in cell cultures. Side effects of china's vaunted sinopharm vaccine include loss of vision. Given the regulatory acceptance of the vero cell line as well as the abundance of vaccines already successfully developed (table 1), vero remains one of the most attractive. Rabies and influenza cell lines, media and bioreactor options. The 'vero' lineage was isolated from kidney epithelial cells extracted from an african green monkey (chlorocebus sp.; Vero cell platform in vaccine production.

Side effects of china's vaunted sinopharm vaccine include loss of vision vero cell vaccine. The 'vero' lineage was isolated from kidney epithelial cells extracted from an african green monkey (chlorocebus sp.;

Posting Komentar

Lebih baru Lebih lama

Facebook